产品中心 产品中心
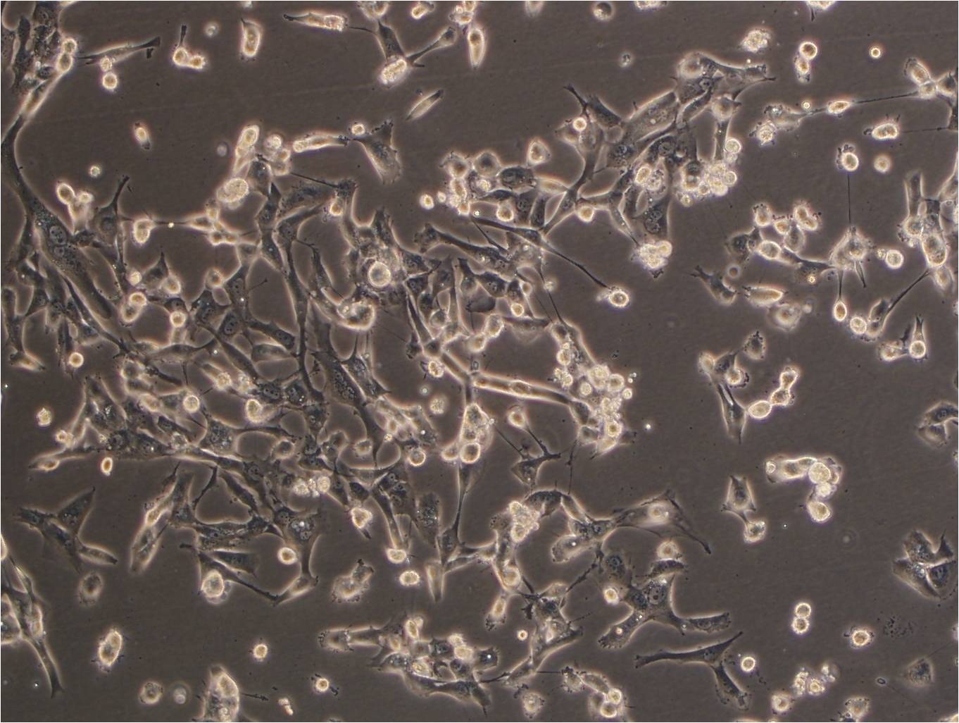
BT-549 人乳腺导管癌细胞
人源细胞
BT-549 人乳腺导管癌细胞
价格: ¥1600
目录号: KC0315

产品信息

特征特性 该细胞1978年由W.G. Coutinho 和 E.Y. Lasfargues建系,源自一位72岁患有乳腺导管癌的白人女性,来源组织包括乳头及浸润导管。该细胞形态包括上皮样细胞及多核巨细胞,可分泌一种粘性物质。
别名 BT 549; BT.549; BT549
形态特征 上皮细胞样
生长特征 贴壁
种属 人源
组织来源 乳腺
疾病 浸润性导管癌
货期 1-2周
难度等级 ★★
培养要点 建议使用澳洲胎牛血清级别血清进行培养
培养及处理信息
培养条件 RPMI 1640(Kinlogix cat:M1002,或Gibco cat:11875,或同配方) 10%澳洲胎牛血清(Gibco cat:10099,或更高级别) 添加剂:1ug/ml胰岛素(Kinloigx cat:M2006)
基础培养基 RPMI 1640(Kinlogix cat:M1002,或Gibco cat:11875,或同配方)
血清 10%澳洲胎牛血清(Gibco cat:10099,或更高级别)
添加剂 添加剂:1ug/ml胰岛素(Kinloigx cat:M2006)
传代比例 1:3传代(培养面积比)
倍增时间 3.7 days (PubMed=9671407); 51 hours (PubMed=25984343); 53.9 hours (NCI-DTP)
消化时间 消化2-3分钟
换液频率 2~3天换液1次
冻存液配方 RPMI 1640+10%澳洲胎牛血清+1ug/ml胰岛素+10%DMSO
规格
T25培养瓶 1 X 10^6,常温运输
冻存管 1 X 10^6,干冰运输(需加收干冰及快递费用)
STR信息
Amelogenin X
CSF1P0 11,12
D13S317 11
D16S539 8
D5S818 11
D7S820 9,10
TH01 9.3
TPOX 8
vWA 15
返回产品列表