产品中心 产品中心
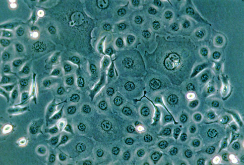
TE-1 人食管癌细胞
TE-1 人食管癌细胞
人源细胞
TE-1 人食管癌细胞
价格: ¥1600
目录号: KC0603

产品信息

特征特性 从一位患有高分化食管鳞癌的男性患者分离建系。
别名 TE1
形态特征 上皮细胞样
生长特征 贴壁
种属 人源
组织来源 食管
疾病 食管鳞癌
货期 1-2周
难度等级
培养要点 暂无
培养及处理信息
培养条件 RPMI 1640(Kinlogix cat:M1002,或Gibco cat:11875,或同配方) 10%胎牛血清(Kinloigx cat:M301-500)
基础培养基 RPMI 1640(Kinlogix cat:M1002,或Gibco cat:11875,或同配方)
血清 10%胎牛血清(Kinloigx cat:M301-500)
添加剂 /
传代比例 不高于1:3传代(培养面积比)
倍增时间 60 hours (PubMed=520749)
消化时间 消化2-3分钟
换液频率 2~3天换液1次
冻存液配方 RPMI 1640+10%FBS+10%DMSO
规格
T25培养瓶 1 X 10^6,常温运输
冻存管 1 X 10^6,干冰运输(需加收干冰及快递费用)
STR信息
Amelogenin X
CSF1P0 10,12
D13S317 10
D16S539 12
D5S818 11
D7S820 10,11
TH01 7
TPOX 8,11
vWA 17,18
返回产品列表