产品中心 产品中心
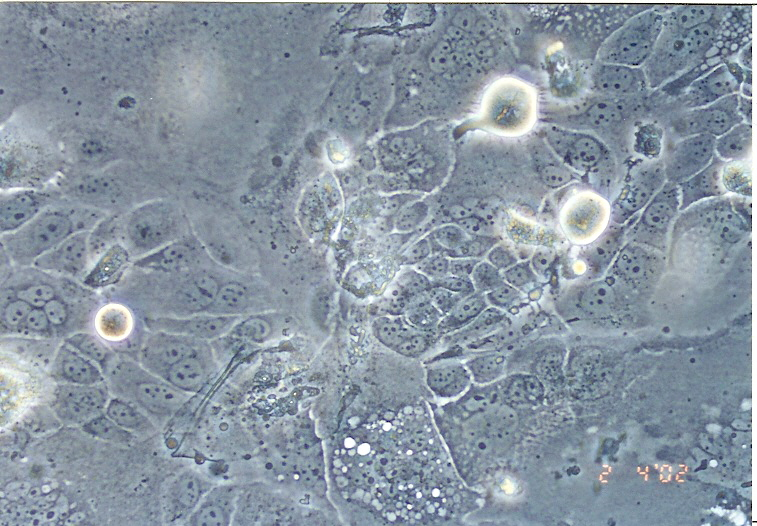
SCC-4 人舌鳞癌细胞
人源细胞
SCC-4 人舌鳞癌细胞
价格: ¥2800
目录号: KC0705

产品信息

特征特性 该细胞来源于一位55岁男性患者。该细胞可在半固体培养基中形成克隆。锚定剥夺不会诱导分化。3T3滋养层细胞的使用可以促进细胞的生长。
别名 SCC 4; SCC4
形态特征 上皮细胞样
生长特征 贴壁
种属 人源
组织来源
疾病 舌鳞癌
货期 1-2周
难度等级
培养要点 暂无
培养及处理信息
培养条件 DMEM/F12(Kinlogix cat:M1004,或Gibco cat:11330,或同配方) 10%胎牛血清(Kinloigx cat:M301-500) 添加剂:400ng/ml氢化可的松(Kinloigx cat:M2007)
基础培养基 DMEM/F12(Kinlogix cat:M1004,或Gibco cat:11330,或同配方)
血清 10%胎牛血清(Kinloigx cat:M301-500)
添加剂 添加剂:400ng/ml氢化可的松(Kinloigx cat:M2007)
传代比例 1:3传代(培养面积比)
倍增时间 ~60-70 hours (DSMZ)
消化时间 消化5分钟
换液频率 每周换液2-3次
冻存液配方 DMEM/F12+10%FBS+400ng/ml氢化可的松+10%DMSO
规格
T25培养瓶 1 X 10^6,常温运输
冻存管 1 X 10^6,干冰运输(需加收干冰及快递费用)
STR信息
Amelogenin X,Y
CSF1P0 11
D13S317 11,13
D16S539 12
D5S818 13
D7S820 9,11
TH01 9.3
TPOX 8
vWA 15,17
返回产品列表