产品中心 产品中心
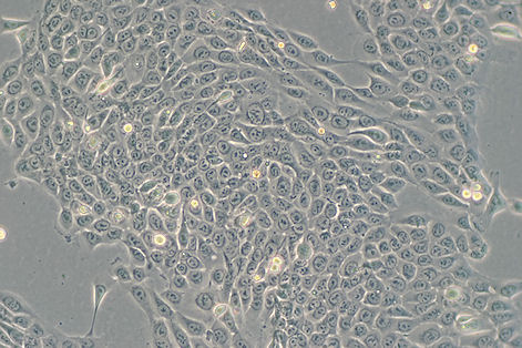
SAS 人舌鳞癌细胞
人源细胞
SAS 人舌鳞癌细胞
价格: ¥2400
目录号: KC0706

产品信息

特征特性 原发肿瘤分离的舌鳞癌细胞。
别名 \
形态特征 上皮细胞样
生长特征 贴壁
种属 人源
组织来源
疾病 舌鳞癌
货期 1-2周
难度等级
培养要点 暂无
培养及处理信息
培养条件 DMEM/F12(Kinlogix cat:M1004,或Gibco cat:11330,或同配方) 10%胎牛血清(Kinloigx cat:M301-500)
基础培养基 DMEM/F12(Kinlogix cat:M1004,或Gibco cat:11330,或同配方)
血清 10%胎牛血清(Kinloigx cat:M301-500)
添加剂 /
传代比例 1:3传代(培养面积比)
倍增时间 33 hours (PubMed=24627082); ~30 hours (lot 07312007), ~21 hours(JCRB)
消化时间 消化2-3分钟
换液频率 每周换液2-3次
冻存液配方 DMEM/F12 +10%FBS+10%DMSO
规格
T25培养瓶 1 X 10^6,常温运输
冻存管 1 X 10^6,干冰运输(需加收干冰及快递费用)
STR信息
N/A
返回产品列表