产品中心 产品中心
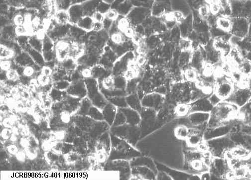
G-401 人肾癌Wilms细胞
G-401 人肾癌Wilms细胞
人源细胞
G-401 人肾癌Wilms细胞
价格: ¥1600
目录号: KC1512

产品信息

特征特性 该细胞来源于一名3个月大的婴儿的肾Wilms瘤,由于该类肿瘤分类的改变,经Garvin等鉴定后发现该细胞来源于肾横纹肌样瘤。该细胞分泌肾母细胞生长因子(nephroblast growth factor,NB-GF)。
别名 G401; G 401
形态特征 上皮细胞样
生长特征 贴壁
种属 人源
组织来源
疾病 肾横纹肌瘤
货期 1-2周
难度等级
培养要点 暂无
培养及处理信息
培养条件 McCoy's 5a(Kinloigx cat:M1007) 10%胎牛血清(Kinloigx cat:M301-500)
基础培养基 McCoy's 5a(Kinloigx cat:M1007)
血清 10%胎牛血清(Kinloigx cat:M301-500)
添加剂 /
传代比例 1:3传代(培养面积比)
倍增时间 \
消化时间 消化2-3分钟
换液频率 2~3天换液1次
冻存液配方 McCoy's 5a+10%FBS+10%DMSO
规格
T25培养瓶 1 X 10^6,常温运输
冻存管 1 X 10^6,干冰运输(需加收干冰及快递费用)
STR信息
Amelogenin X,Y
CSF1P0 11,13
D13S317 9,14
D16S539 12
D5S818 13
D7S820 11,14
TH01 8,9.3
TPOX 8,11
vWA 16
返回产品列表