产品中心 产品中心
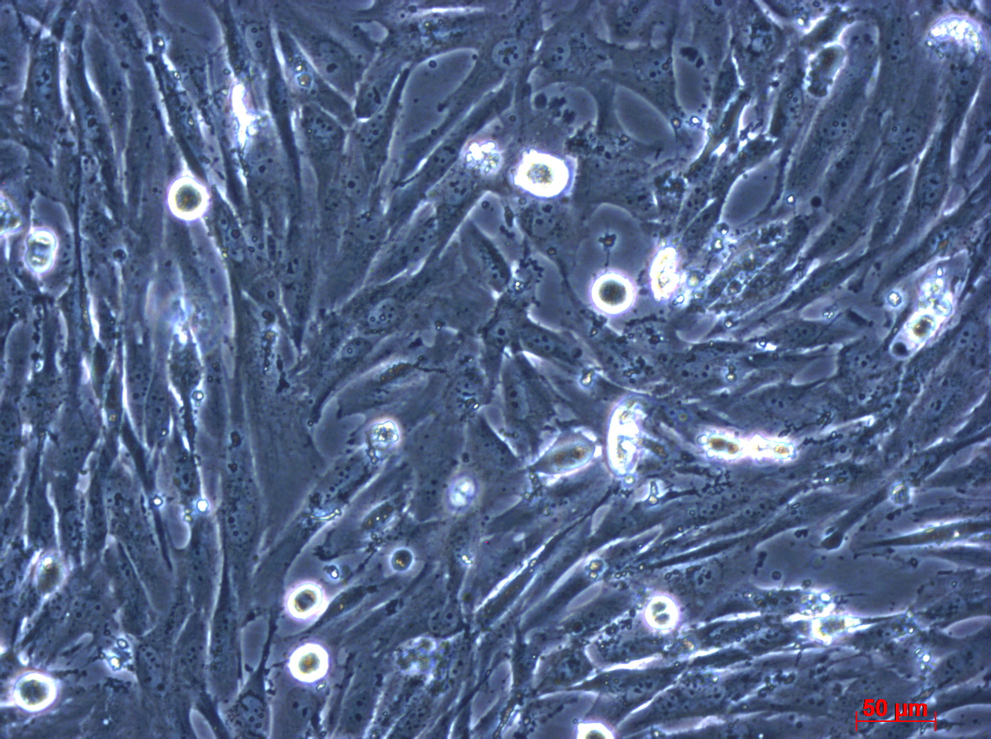
HS683 人脑胶质瘤细胞
HS683 人脑胶质瘤细胞
人源细胞
HS683 人脑胶质瘤细胞
价格: ¥1600
目录号: KC1709

产品信息

特征特性 该细胞源自76岁白人男性的左颞叶侧胶质瘤组织,有微绒毛,无桥粒
别名 HS 683; HS-683; Hs-683; Hs683; HS683; Hs 683.T; HS 683T; Hs683T
形态特征 多角
生长特征 贴壁
种属 人源
组织来源
疾病 少突胶质瘤
货期 1-2周
难度等级 ★★
培养要点 建议使用改良型DMEM培养基培养
培养及处理信息
培养条件 DMEM,high glucose(Kinlogix cat:M1001,或Gibco cat:11995,或同配方) 10%胎牛血清(Kinloigx cat:M301-500)
基础培养基 DMEM,high glucose(Kinlogix cat:M1001,或Gibco cat:11995,或同配方)
血清 10%胎牛血清(Kinloigx cat:M301-500)
添加剂 /
传代比例 1:3传代,6-8天传代一次(培养面积比)
倍增时间 \
消化时间 消化3-4分钟
换液频率 2~3天换液1次
冻存液配方 DMEM,high glucose+10%FBS +10%DMSO
规格
T25培养瓶 1 X 10^6,常温运输
冻存管 1 X 10^6,干冰运输(需加收干冰及快递费用)
STR信息
Amelogenin X,Y
CSF1P0 9,13
D13S317 8,12
D16S539 9,10
D5S818 11,12
D7S820 11
TH01 6,8
TPOX 8,11
vWA 18,20
返回产品列表